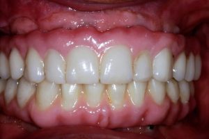
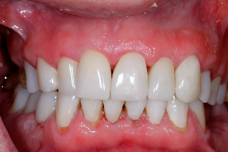
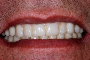
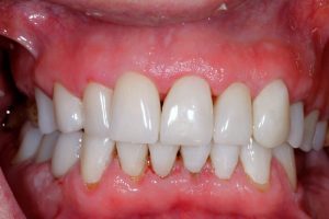
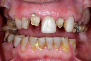
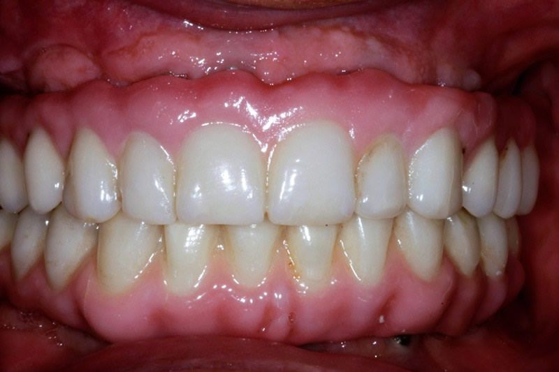
Es una técnica innovadora que utiliza herramientas digitales avanzadas para planificar y personalizar la sonrisa ideal de cada paciente. Con este servicio, se puede previsualizar el resultado final antes del tratamiento, asegurando una estética facial armónica y resultados adaptados a las necesidades y deseos del paciente. Perfecto para quienes buscan mejorar su sonrisa con un enfoque preciso, profesional y altamente estético. Tu nueva sonrisa, diseñada a la perfección.
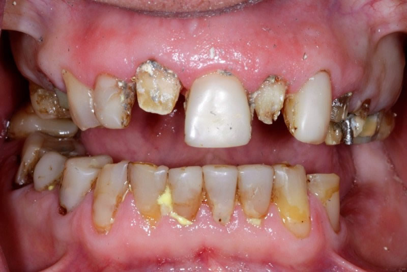
Para lograr resultados óptimos en estética es necesario hacer una aproximación multidisciplinaria (Ortodoncia, Periodoncia, Endodoncia etc..) a los casos así es que el tiempo puede ser variable entre 4 días en adelante. En algunos casos puede tomar tan solo un par de citas pero esto depende del diagnóstico que se realice.
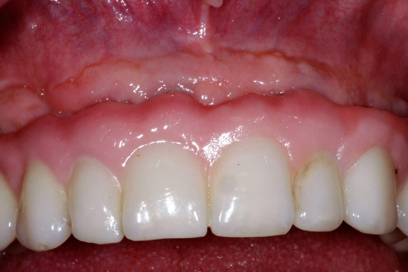
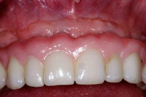
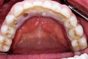
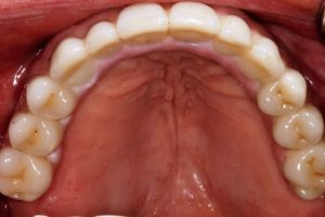
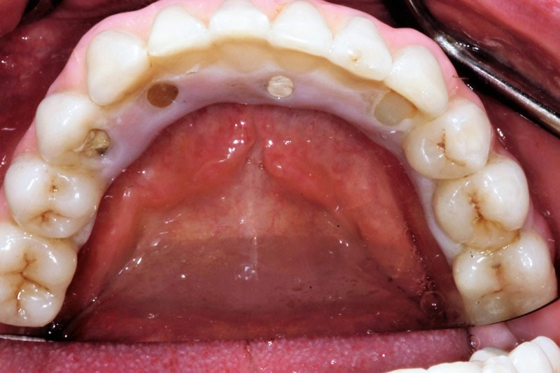
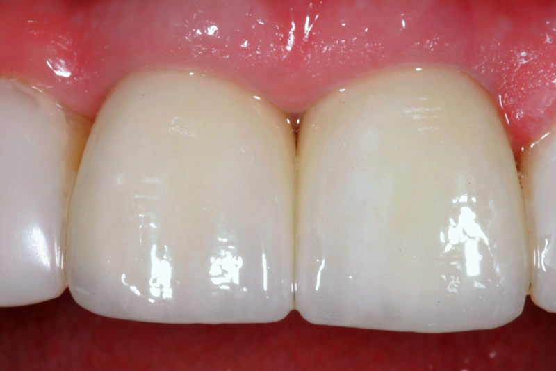
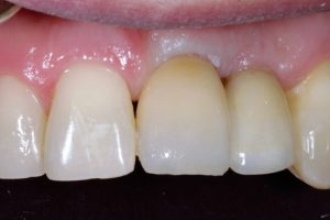
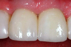
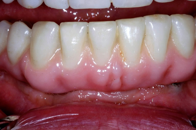
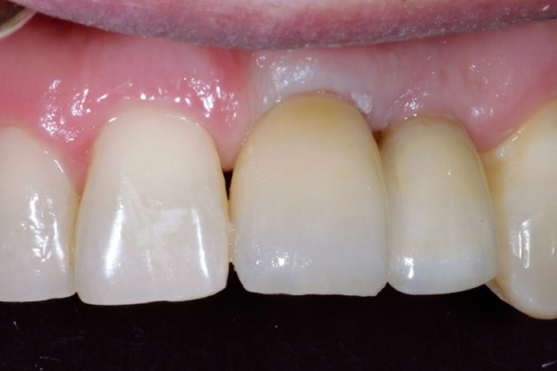
Para le elaboración de un diseño de sonrisa natural, tenemos gran variedad de materiales que nos dan resultados estéticos satisfactorios. Algunos de ellos son: Resinas compuestas, Cerámica feldespática, Disilicato de Litio y/o Zirconio. Cda uno de estos materiales tienen unas características e indicaciones específicas de acuerdo a las necesidades particulares de cada paciente.